뱃속의 아이가 딸꾹질을 하는데 왜 하는 것일까요?
- 건강 정보
- 2022. 5. 29.
드라마, 영화에서 보면 임산부가 태아가 딸꾹질 한다고 하며 행복해하는데, 이 느낌을 처음 느끼는 임산부라면 신기하고 사랑스럽기도 하지만 한편으로는 태아가 딸꾹질을 멈추지 않을 경우 걱정을 하기도 합니다. 태아가 딸꾹질을 왜 하는지 알아보겠습니다.

태아가 양수를 삼키고 뱉을 때 합니다.
태아의 딸꾹질은 횡경막이 발달하면서 하게 되는데 숨을 쉴 때 횡경막이 움직이는 것과 같이 태아가 건강하게 잘 자라고 있다는 신호입니다.
태아는 엄마의 양수 안에 있기 떄문에 숨을 쉴 수 없습니다. 하지만 양수를 삼켰다가 뱉는 것을 반복하는데요. 이때 딸꾹질을 느끼게 됩니다.
이 과정에서 태아는 계속해서 발달합니다.
딸꾹질이 문제가 될까?
딸꾹질은 전혀 문제가 되지 않습니다. 우리가 밥을먹고 트림을 하고 방귀를 뀌듯 태아의 딸꾹질 또한 너무나도 당연한 것입니다. 약 20주 정도 자랐을 때 나타나게 되는데 산모는 처음 경험했을 때 놀래기도 하지만 걱정하기도 하는데 전혀 걱정할 필요가 없습니다.
딸꾹질을 할 때 병원에 가야 할까?
태아의 딸꾹질은 병원에 갈 필요가 전혀 없지만 만일 아래 증상이 있을경우에는 병원에 가는 것이 좋습니다.
- 태아가 움직이지 않을 때
- 열이 날 때
- 배가 심하게 아플 때
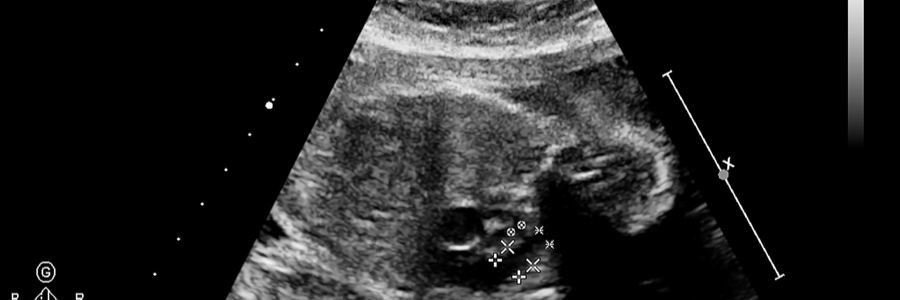
많은 임산부들은 정기 검진을 가게 되는데 검진 시 꼭 의사에게 이것저것 물어보며 궁금증을 해소하고 걱정된다면 초음파를 실행하는 것도 좋습니다.
아이가 뱃속에서 건강하게 자란다는 것은 축복입니다. 딸국질에 대해 너무 걱정하지 말고 하나의 추억으로 남기는 것도 좋습니다.
뱃속 태아의 딸꾹질에 대해 알아봤습니다.